Ícone do site Ecos da Noticia

Langya: China alerta para a identificação de um novo vírus em humanos

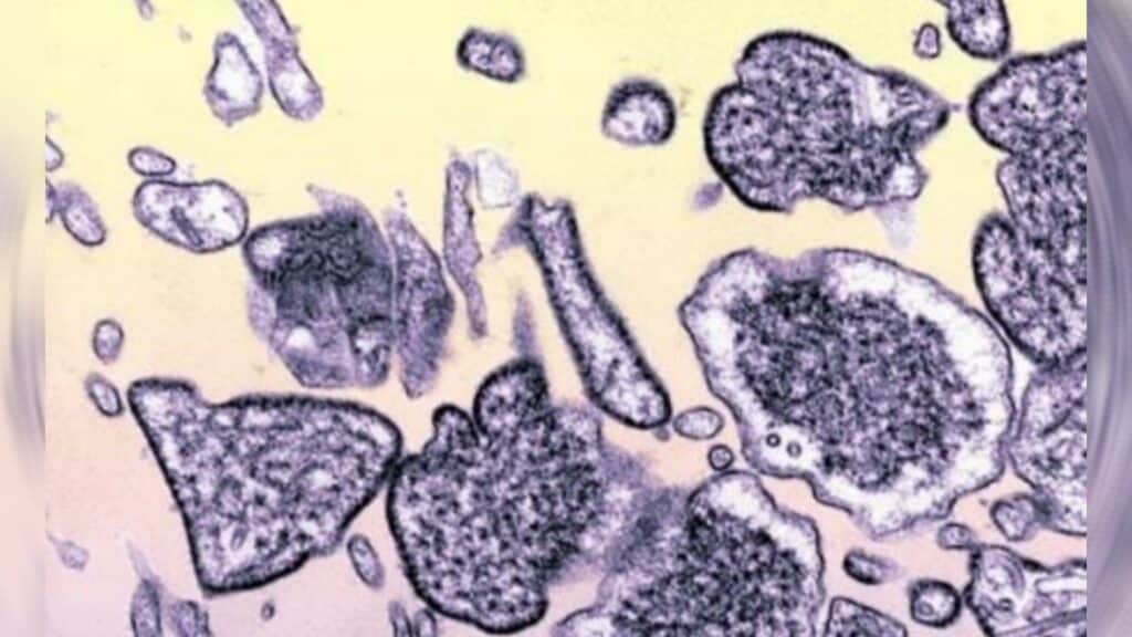
Cientistas chineses publicaram, na revista científica The New England Journal of Medicine, um alerta sobre a identificação de um novo vírus no país. Nomeado por eles como Langya henipavirus (LayV), o agente patogênico já infectou 35 pessoas e foi relacionado a indivíduos que mantém contato frequente com animais. O Centro de Controle de Doenças de Taiwan confirma a informação.

Esta é a primeira vez que o vírus é identificado em humanos. O patógeno é da família Henipavirus, que inclui outras duas espécies já identificadas, os vírus Hendra e Nipah. As duas doenças causam quadros graves e ainda não têm tratamento — em geral, os vírus desta família têm taxa de letalidade entre 40% e 75%.

O Nipah foi descoberto em 1999 na Malásia e em Singapura, e foi responsável por 100 mortes em 300 casos. A Organização Mundial da Saúde (OMS) o incluiu na lista de vírus com potencial pandêmico.

Segundo os pesquisadores, nenhum dos pacientes infectados pelo Langya morreu ou teve caso grave. Os indivíduos infectados apresentaram sintomas comuns de gripe, como febre, fadiga, tosse, náuseas, perda de apetite, dores musculares, dor de cabeça e vômito.

Os pacientes chamaram a atenção dos médicos por estarem febris, o que desencadeou a investigação e posterior identificação do vírus responsável pelos sintomas. Como a doença é nova, ainda não há tratamento.

Os henipavírus estão naturalmente abrigados em morcegos frutíferos, mas os cientistas acreditam que o Langya especificamente seja transmitido pelo contato com musaranhos, um pequeno mamífero que se alimenta de insetos. Cerca de 25 animais estão sendo estudados para verificar se são portadores do vírus.

Transmissão do vírus

Como há um grupo de pacientes infectados, os cientistas acreditam que já exista uma transmissão entre humanos. Apesar disso, eles afirmam que não há indícios de contato próximo ou exposição aos mesmos animais entre os indivíduos infectados — o dado sugere que o contágio pode ser esporádico, ou seja, só acontecer em algumas pessoas.

“O rastreamento de contatos próximos de nove pacientes com 15 familiares não revelou transmissão do LayV. Mas nossa amostra era muito pequena para determinar se há transmissão do vírus entre humanos”, escrevem os especialistas no artigo.

Sair da versão mobile